
Une petite fille née à Hong Kong a été jugée «enceinte» de jumeaux.
La petite fille, née de parents venant de la Chine continentale à l’hôpital Queen Elizabeth a dû subir une intervention chirurgicale à seulement âgée de trois semaines pour les enlever.
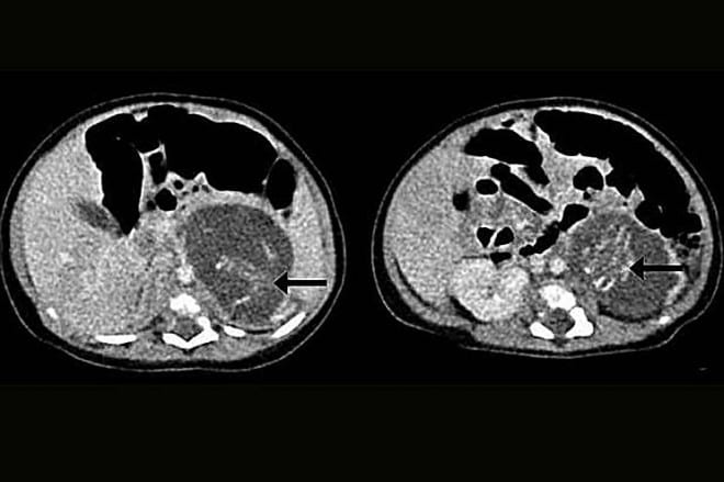
Les fœtus, 8 à 10 semaines en gestation, avaient des jambes, des bras, une colonne vertébrale, de la cage thoracique et des intestins.
Un pesait 14,2 grammes et l’autre 9,3 grammes – et chacun avait un cordon ombilical.
La chirurgie a été un succès et la petite fille a quitté l’hôpital huit jours plus tard.
La merveille médicale extraordinaire a été détaillée dans le dernier numéro du journal médical de Hong Kong.
La condition, connue sous le nom de fœtus dans foetu se produit dans seulement un sur 500 000 naissances dans le monde. Moins 200 cas ont déjà été signalés.
Dr Yu Kai-man, un spécialiste en obstétrique et en gynécologie, croit que c’est le premier cas documenté dans la ville.
Il a été presque impossible à détecter lors de la période du check up prénatale, l’embryon à l’intérieur du bébé était trop petit.
, a déclaré Yu, un ancien professeur à l’Université chinoise de Hong Kong.
Comme il est impossible pour la petite fille à avoir conçu la grossesse d’elle même, la fécondation des fœtus jumeaux, bien sûr, appartient à ses parents, qui est allé à la mauvaise place.
Le rapport dit que la raison derrière l’anomalie, ce qui s’est passé lorsque la fille est née en 2010, est encore inconnue, et que l’Organisation mondiale de la Santé a classé comme un type de cancer.



